Dental Implants Chicago, IL
People are living longer than ever, and while regular brushing, flossing, and checkups allow many of us to maintain our natural smiles for a lifetime, sometimes our teeth just can't keep up. If you've lost a tooth (or a few teeth) due to injury or disease, dental implants can rejuvenate both your smile and your oral health.
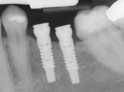
An implant is a synthetic tooth root in the shape of a post that is surgically placed into the jawbone. The “root” is usually made of titanium, the same material used in many replacement hips and knees, and a metal that is well-suited to pairing with human bone. A replacement tooth is then fixed to the post. The tooth can be either permanently attached or removable. Permanent teeth are more stable and feel more like natural teeth.
The ideal candidate for implants is a non-smoker who has good oral health, including a sufficient amount of bone in the jaw, and healthy gums with no sign of gum disease.
Single or Multiple Implants
Implants are versatile. If you are only missing one tooth, one implant plus one replacement tooth will do the trick. If you are missing several teeth in a row, a few strategically placed implants can support a permanent bridge (a set of replacement teeth). Similarly, if you have lost all of your teeth, a full bridge or full denture can be permanently fixed in your mouth with a strategic number of implants.

Advantages Over Dentures or Bridges
Conventional bridges and dentures are not fixed to the bone, and can therefore be unstable. This can make it difficult to eat or smile with confidence. Implants not only look more natural, but feel and act more like normal teeth, with a stronger biting force. And because they don't directly rely on neighboring teeth for support, implants don't compromise the health of your natural teeth. In fact, bridges are only expected to last seven to ten years, even less with root canals, whereas implants will typically last a lifetime.
Post-Treatment Care
Consider your replacement teeth to be the same as natural teeth. They require the same daily brushing and flossing, and the same amount of regular checkups. Just like your natural teeth, the better you take care of your replacements, the longer they will last.

Implant Services
Our implant services include:
- Sinus Lift Augmentation: Often the sinuses will enlarge following loss of the upper back teeth. This can preclude placement of dental implants in the upper back areas of the mouth, since the sinus is an air-filled space and dental implants need to be surrounded by solid bone. A sinus lift augmentation/graft is a surgical procedure that restores the sinus cavity to its original size, and replaces the bone that has been lost as a result of the enlarged sinus. This new bone graft typically takes nine to 12 months to heal before the dental implants can be placed into the grafted bone.
- Autogenous Bone Grafting: Occasionally, the ideal areas for dental implants do not have sufficient bone quantity to support the implants. In these cases, it is often necessary to “borrow” bone from another area of your mouth and graft it into the deficient area. Often, the area of choice is from the chin or in the back of the jaw where your wisdom teeth used to be.
- Implant Site Development: When a tooth needs to be removed due to infection, it is not uncommon to have lost bone around the infected tooth. In these cases, various types of bone grafting can be done at the same time the tooth is removed to facilitate the placement of a dental implant at a later date.
- Computer-Enhanced Treatment Planning: We have special software on our computer that allows us to evaluate your dental CT scan in three dimensions for bone quality, bone quantity, and bone location, enabling the best possible placement of your dental implants. This also allows us to work closely and smoothly with your restorative dentist to ensure an ideal result where your dental implants are concerned.
- Implant Maintenance: Once your dental implant restoration is completed, it is important to keep the area clean and infection-free. Dental implants can accumulate plaque and tartar just as teeth can. Whether you have just one tooth replaced by an implant or several, a professional cleaning schedule will be necessary to keep your implants healthy. The time interval for these professional cleanings will be determined by your individual needs.

All-on-4®
A new, beautiful smile in just one day!
Maintain optimal oral function and aesthetics with All-on-4 same-day teeth replacement. Using state-of-the-art technology, All-on-4 treatment replaces traditional dentures, which can be uncomfortable, inconvenient, and poorly fitted. All-on-4 turns problematic chewing and speaking into relics of the past.
Using only four dental implants to attach a full dental restoration, your doctor can give you the stable, functional, and cosmetic solution you've been looking for. Best of all, your dentures can be placed on the same day as your implants, so you don't have to wait to get the restored smile you deserve.
The Benefits of All-on-4
- Because All-on-4 allows full-arch restoration with only four implants, your treatment and recovery time are greatly reduced.
- All-on-4 lowers the need for bone graft surgery while ensuring greater stability in the existing bone. It can even be used for patients who have been told they do not qualify for implants due to bone loss.
- The All-on-4 solution is more comfortable than traditional dentures because All-on-4 implants are more secure and feel like natural teeth.
- You’ll never have to worry about your false teeth slipping or falling out while you eat or engage in conversation.
- There is no need for denture adhesive!
Patients can enjoy a more comfortable and functional bite after losing teeth with dental implants. Implants act as artificial roots to anchor permanent teeth replacements. If you are missing one or more teeth or need to have one extracted, dental replacements can be a great option to restore your smile.
Dental implants can be beneficial for people who want a tooth replacement option that closely imitates natural teeth. They can be a very effective long-term solution for missing teeth. Dental implants are available at Allure Dental Chicago in Chicago and the surrounding area. Call our team at (773) 840-8121 to learn more about this service and set up an appointment.
The Process of Getting Dental Implants
Dental implants are small screw-shaped titanium posts that function similarly to the root of a natural tooth. Once placed in the jawbone, the posts fuse with the bone to create a solid base for replacement teeth. The presence of the implant stimulates new bone growth in the jaw. However, if a patient has insufficient bone quantity, then a bone graph may be necessary before the implant placement. Most patients undergo implant placement under a local anesthetic. Not all implant dentists provide this service, so patients should inquire beforehand.
When the procedure is complete, we will place a temporary crown or a healing cap over the implant to protect it from food particles and allow the site to heal. A permanent crown or bridge is placed on top of the implant once the healing is complete. Dental implant placement is generally an uncomplicated procedure, although this can vary based on each patient's general and dental health. According to WebMD, dental implants have a success rate of up to 98%. With the right care, implants can last a lifetime and function similarly to natural teeth.
“Dental implants are small screw-shaped titanium posts that function similarly to the root of a natural tooth.”
How To Care for Dental Implants
Caring for dental implants is very similar to caring for natural teeth, especially if the replacement teeth are permanent. Brushing, flossing, and rinsing with mouthwash is necessary for maintaining proper oral hygiene with implants. Getting regular checkups and teeth cleanings at the dentist are important for taking care of replacement teeth.
Dental implants may require extra cleaning to keep them in optimal condition. Removable, implant-supported dentures should be taken out at night and soaked in a denture solution. Patients can also use an oral irrigator to help clean below and around the dental implants.
“Caring for dental implants is very similar to caring for natural teeth, especially if the replacement teeth are permanent.”
What To Expect After the Dental Implant Procedure
It is normal to experience some soreness and swelling at the implant site following the procedure. We recommend patients apply an ice pack for the next couple of days to reduce swelling. Patients can manage pain with a prescription or over-the-counter painkillers and may also receive antibiotics to prevent postoperative infections. Patients who experience swelling or significant pain that persists for more than a few days after the surgery should contact their dentists.
While the site heals, patients should eat soft foods and avoid chewing on the implant. Dentists often use self-dissolving stitches that usually fall out in seven to 10 days. In some cases, when non-dissolving sutures are required, another appointment is needed to remove them in 10 to 14 days. Following post-care instructions will aid the healing process.
“Following post-care instructions will aid the healing process.”
Check out what others are saying about our dental services on Yelp: Dental Implants in Chicago, IL
Benefits of Dental Implants
Dental implants can be a good choice for many patients with missing teeth. Dental implants allow new teeth to feel, look, and function naturally. Here are some key benefits of dental implants:
- Comfortable: Dental implants act as tooth roots and stay firmly in place. This firm foundation makes them more comfortable than dentures and other replacement tooth options. Many patients report that implants feel similar to their natural teeth.
- Functional: The stability of implants makes them effective for eating, talking, and cleaning. They function similarly to the teeth they are replacing. Less permanent options may interfere more with daily life.
- Permanent: Dental implants are one of the most permanent tooth replacement options. They can last a lifetime with good care. Additionally, fixed replacement teeth on implants do not need to be removed every day for cleaning.
- Natural-looking: Implant-supported replacement teeth look like natural teeth. The visible part of the dental implant is a cosmetic crown made from a composite material that is color-matched to the patient’s tooth enamel. It can be hard to tell the difference. Many patients enjoy dental implants’ aesthetic appeal, as others cannot tell the difference between the replacement and natural teeth.
“Dental implants allow new teeth to feel, look, and function naturally.”
Questions Answered on This Page
Q. How to take care of dental implants?
Q. What are the benefits of dental implants?
Q. What is the process of getting dental implants?
Q. What happens after the dental implant procedure?
People Also Ask
Q. What can I expect the day of the implant procedure?
Q. Who are the right candidates for teeth replacement?
Frequently Asked Questions
Q. How long does it take to insert dental implants?
A. The entire process, from initial consultation to the end, can take several months. The dental implant procedure usually takes an hour or less. This process can take longer, depending on the location of the site and the number of implants.
Q. What should I do if the dental implant gets chipped or cracked?
A. Typically, the crown attached to the implant can become damaged. A dentist can replace the crown. Patients should make an appointment with their implant dentist as soon as possible.
Q. Can I get implants if I have full or partial dentures?
A. Implants can serve as a base to attach permanent or removable dentures. Patients needing full or partial teeth replacements often find implant-anchored bridges more comfortable than other options. Implants can provide patients with additional stability and comfort.
Q. Is it likely I will have an allergic reaction to the materials in the implants?
A. Implant posts usually consist of a titanium alloy. A 2019 study found that titanium allergies are less common than other metal allergies. If patients have any concerns, they may have allergy testing done before getting implants.
Q. How soon can I return to work after getting dental implants?
A. Most people can resume normal functioning the next day. Some common side effects include gum and skin bruising, facial and gum swelling, and minor bleeding and pain. Dental professionals also recommend avoiding heavy lifting for 48 hours after the procedure.
Dental Implant Terminology
Call Us To Learn More About Dental Implants
Dental implants closely imitate the form and function of natural teeth. If you are missing teeth, this may be the solution for you. Call (773) 840-8121 to set up an appointment at Allure Dental Chicago and learn more about this procedure.
Helpful Related Links
- American Dental Association (ADA). Glossary of Dental Clinical Terms. 2025
- American Academy of Cosmetic Dentistry® (AACD). Home Page. 2025
- WebMD. WebMD’s Oral Care Guide. 2025
About our business and website security
- Allure Dental Chicago was established in 2023.
- We accept the following payment methods: American Express, Cash, Check, Discover, MasterCard, and Visa
- We serve patients from the following counties: Cook County
- We serve patients from the following cities: Chicago
- Norton Safe Web. View Details
- Trend Micro Site Safety Center. View Details
Back to top of Dental Implants











